Miércoles 4 de Marzo de 2026

4 de marzo de 2026

El Rider Rodrigo Fernandez necesita una urgente intervención y el Múltiple Campeón Joaquín Poli hablo del tema

Desde sus redes sociales el Múltiple Campeón de Motocross Joaquín Poli hablo sobre la difícil situación que esta pasando el reconocido en la zona y Provincia Fernandez en relación a una infección. El video ya suma mas de 150.000 reproducciones en instagram

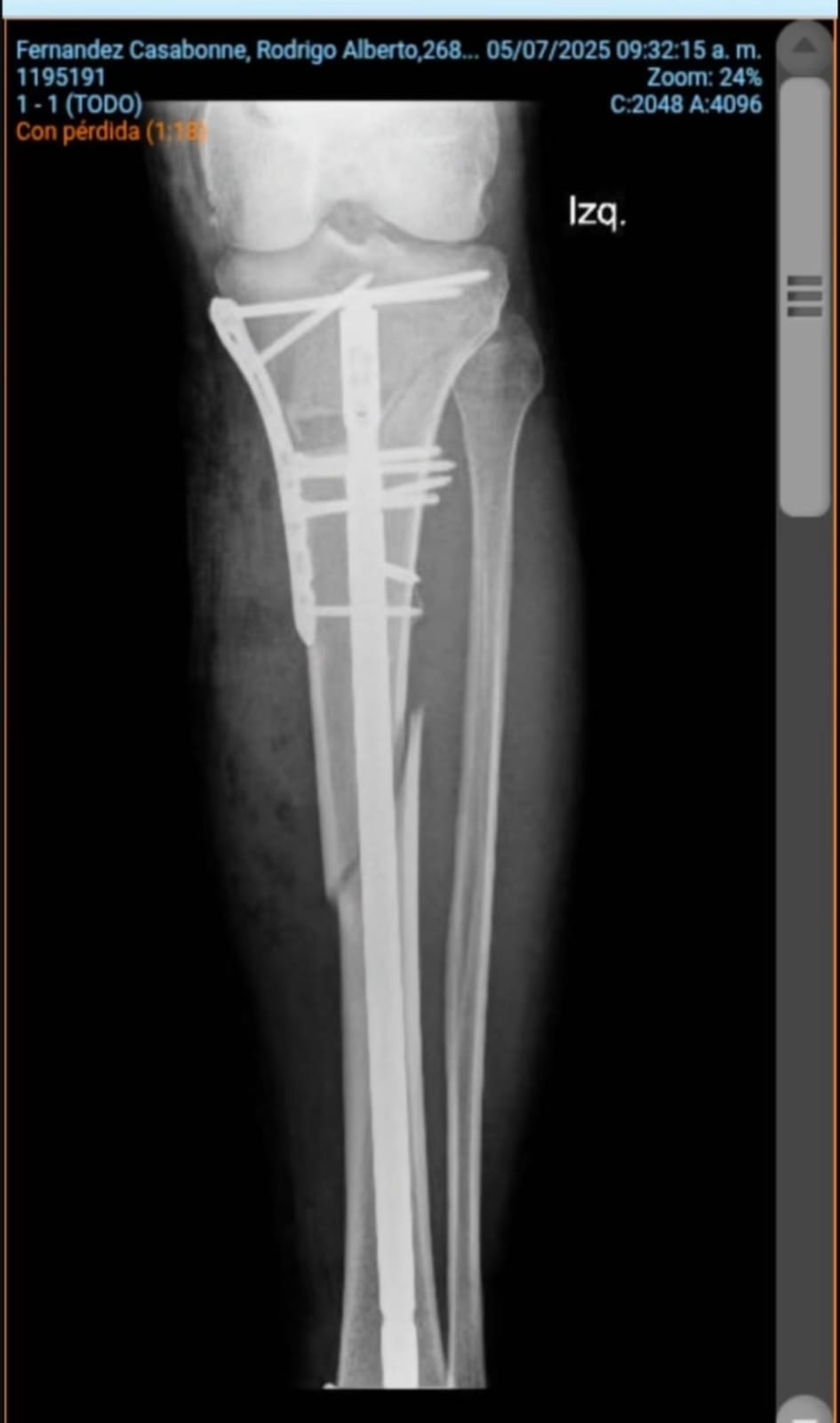
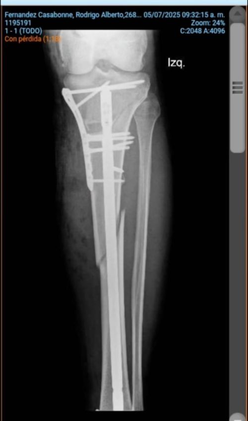
Rodrigo Fernández es un competidor de�Motocross de muchísima experiencia que ha sabido ganarse el cariño y admiración de quienes lo han visto dentro de un circuito ya sea Provincial, nacional o internacional. En las ultimas horas tomo trascendencia su situación actual ya que el mejor piloto de la Argentina Joaquín Poli pidió por el y explico un poco la situación.

"Quería pedirles si podemos aportar a la causa. Rodri Fernández tuvo un accidente muy grande a fines del año pasado. Se opero con la mutual en la pierna y después de 3 meses tuvo una infección que día a día empeora. La Mutual le dijo que después de 3 meses ya no se hace cargo. El necesita de nosotros para poder volver a hacerse otra operación. Ojala podamos sumarnos a esta causa y apoyarnos entre todos. Esta infección va avanzando muy rápido.’’

ALIAS : Rodrigo.moto.70�

Rodrigo Alberto Fernández Casabonne

El piloto Fernández también expuso esta situación con un contundente video. “Así esta mi pierna hace un mes y medio. Tuve una fractura en una carrera de motocross, tuve una cirugía donde me pusieron un clavo intramedular mas una placa. Algunos habrán visto que puse la moto a la venta y el motivo es que no estoy encontrando respuesta de la cobertura sobre esta infección, me dicen que pasados los 3 meses no cubren.”

�

COMPARTIR:

Comentarios